Who We Are
Back
Our Commitment to Excellence
Meet The Doctors
Back
Suketu J. Patel, DMD, MD
Brian Sellers, DMD
Rodrigo L. Uribe, DMD
Meet The Team
Patient Stories
Video Library
Implant Dentistry
Back
Dental Implant Surgery
All-On-4 Full Mouth Implants
X-Guide Dynamic Navigation
Fixed Teeth vs. Removable
Zirconia Fixed Bridge
Oral Surgery
Back
Wisdom Teeth Removal
Tooth Extraction
Bone Grafting
Pediatric Oral Surgery
Emergency & Trauma
Anesthesia Options
What to Expect
Back
Patient Center
Surgical Instructions
Back
Before Anesthesia
Post-Op Instructions
Insurance & Financing
Before & After Photos
Conditions We Treat
Video Library
Blog
Contact Us
Back
Contact Us
Statesboro Office
Swainsboro Office
Referral Form
Online Bill Pay
Contact Us
Patient Forms
Referral Forms
Online Bill Pay
Directions
Statesboro Office
Swainsboro Office
Call Us
Call Statesboro
Call Swainsboro
Close
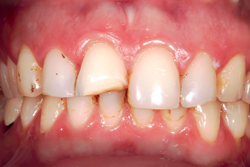
Before & After Photos - Statesboro, GA
The Proof Is
In Our Patients
Before & After
Photos
Before
After
Before
After
Before
After
Before
After
Before
After